Les cavernomes cérébraux héréditaires sont des malformations vasculaires consistant en l'existence de groupes de petits vaisseaux constitués par une unique couche d'épithélium sans autre formation tissulaire habituellement présent dans le vaisseau. Ces grappes vasculaires se localisent principalement dans le cerveau. Le parenchyme cérébral entourant ces vaisseaux est strictement normal. La taille de ces vaisseaux va de un millimètre à plusieurs centimètres.
Les vaisseaux augmentent en nombre et en taille avec le temps. Des cavernomes cérébraux héréditaires ont été décrits chez les jeunes enfants mais la majorité des manifestations surviennent entre 20 et 50 ans. Un quart des individus porteurs de cette pathologie ne présentera aucun symptôme.
Les manifestations comprennent épilepsie, déficit neurologique localisé, céphalée et hémorragie cérébrale. De plus la surpression cérébrale peut provoquer des vomissements en particulier le matin au lever.
Seuls 20 % des cavernomes cérébraux sont d'origine génétique. Pour parler de cavernomes cérébraux héréditaires, il faut au moins la présence de cette malformation dans deux membres de la famille et/ou la présence d'une mutation responsable de la maladie.
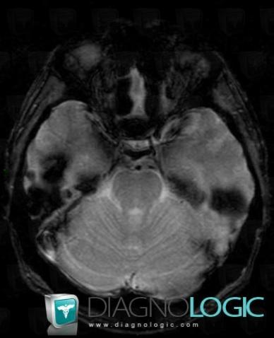
Le diagnostic repose sur l'imagerie médicale comme l'imagerie à résonance magnétique et l'examen pathologique en cas d'intervention chirurgicale.
Trois gènes sont connus comme responsable de cette pathologie KRIT1, CCM2, et CCM3. Une unique mutation du gène KRIT1 (c.1363C>T) est retrouvée dans près de 70 % des populations d'origine hispanique.
Sources
- (en) Eric W Johnson, Cerebral Cavernous Malformation, Familial In GeneTests: Medical Genetics Information Resource (database online). Copyright, University of Washington, Seattle. 1993-2005 [1]
Liens externes
- Association sur les Cavernomes Cérébraux : ACC - www.association-cavernome-cerebral.org
- Portail de la médecine




